Predisposition to Pulmonary Barotrauma

I had pneumonia in 2015 and as a result had lung surgery (thoracotomy) to drain an empyema. Is it safe to dive after this condition, or is there too much risk?
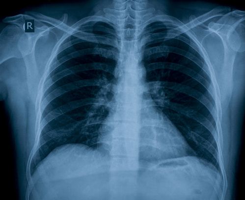
A: The main points to consider are the risk of pleural adhesions and pulmonary scar tissue caused by the thoracotomy, which can predispose you to pulmonary barotrauma.
Since barotrauma can occur with hyperinflation of lung tissue, a diver’s lungs must be able to tolerate rapid changes in volume and pressure. Fibrotic or scarred tissue is of concern to scuba divers because it has reduced elasticity and compliance in its interface with normal lung tissue. Any weakness in lung structure may be prone to rupture from even minimal over-inflation.
Pulmonary barotrauma usually happens near the end of a dive when a diver is ascending and trapped air in the lungs is expanding due to the decrease in pressure. When barotrauma occurs, air can escape from the injured lung and enter other areas of the chest, causing a life-threatening emergency.
Escaped gas from the lungs can enter one of three places: the mediastinal area around the heart (causing pneumo-mediastinum or mediastinal emphysema), the pleural space between the lung and the chest wall (causing pneumothorax), and the bloodstream (causing arterial gas embolism).
Understanding the possible dangers and emphasising the importance of a slow ascent rate while diving may reduce this risk.
A high-resolution spiral lung CT scan may show the extent of scarring, adhesions and the presence of any air trapping. A follow-up appointment with a pulmonologist after the CT scan is necessary to exclude air trapping and adhesions before diving. The doctor will also consider any risk of recurrence of the condition that required the thoracotomy, any other medical conditions you might have, your overall level of fitness and your smoking history, all of which are necessary to consider before you return to diving. AD
— Sheryl Shea, RN, CHT
A: The main points to consider are the risk of pleural adhesions and pulmonary scar tissue caused by the thoracotomy, which can predispose you to pulmonary barotrauma.
Since barotrauma can occur with hyperinflation of lung tissue, a diver’s lungs must be able to tolerate rapid changes in volume and pressure. Fibrotic or scarred tissue is of concern to scuba divers because it has reduced elasticity and compliance in its interface with normal lung tissue. Any weakness in lung structure may be prone to rupture from even minimal over-inflation.
Pulmonary barotrauma usually happens near the end of a dive when a diver is ascending and trapped air in the lungs is expanding due to the decrease in pressure. When barotrauma occurs, air can escape from the injured lung and enter other areas of the chest, causing a life-threatening emergency.
Escaped gas from the lungs can enter one of three places: the mediastinal area around the heart (causing pneumo-mediastinum or mediastinal emphysema), the pleural space between the lung and the chest wall (causing pneumothorax), and the bloodstream (causing arterial gas embolism).
Understanding the possible dangers and emphasising the importance of a slow ascent rate while diving may reduce this risk.
A high-resolution spiral lung CT scan may show the extent of scarring, adhesions and the presence of any air trapping. A follow-up appointment with a pulmonologist after the CT scan is necessary to exclude air trapping and adhesions before diving. The doctor will also consider any risk of recurrence of the condition that required the thoracotomy, any other medical conditions you might have, your overall level of fitness and your smoking history, all of which are necessary to consider before you return to diving. AD
— Sheryl Shea, RN, CHT
Posted in Alert Diver Fall Editions, Dive Fitness, Dive Safety FAQ
Posted in pulmunary barotrauma, Lung injuries, Pneumonia, Lung surgery
Posted in pulmunary barotrauma, Lung injuries, Pneumonia, Lung surgery
Categories
2025
2024
February
March
April
May
October
My name is Rosanne… DAN was there for me?My name is Pam… DAN was there for me?My name is Nadia… DAN was there for me?My name is Morgan… DAN was there for me?My name is Mark… DAN was there for me?My name is Julika… DAN was there for me?My name is James Lewis… DAN was there for me?My name is Jack… DAN was there for me?My name is Mrs. Du Toit… DAN was there for me?My name is Sean… DAN was there for me?My name is Clayton… DAN was there for me?My name is Claire… DAN was there for me?My name is Lauren… DAN was there for me?My name is Amos… DAN was there for me?My name is Kelly… DAN was there for me?Get to Know DAN Instructor: Mauro JijeGet to know DAN Instructor: Sinda da GraçaGet to know DAN Instructor: JP BarnardGet to know DAN instructor: Gregory DriesselGet to know DAN instructor Trainer: Christo van JaarsveldGet to Know DAN Instructor: Beto Vambiane
November
Get to know DAN Instructor: Dylan BowlesGet to know DAN instructor: Ryan CapazorioGet to know DAN Instructor: Tyrone LubbeGet to know DAN Instructor: Caitlyn MonahanScience Saves SharksSafety AngelsDiving Anilao with Adam SokolskiUnderstanding Dive Equipment RegulationsDiving With A PFOUnderwater NavigationFinding My PassionDiving Deep with DSLRDebunking Freediving MythsImmersion Pulmonary OedemaSwimmer's EarMEMBER PROFILE: RAY DALIOAdventure Auntie: Yvette OosthuizenClean Our OceansWhat to Look for in a Dive Boat
2023
January
March
Terrific Freedive ModeKaboom!....The Big Oxygen Safety IssueScuba Nudi ClothingThe Benefits of Being BaldDive into Freedive InstructionCape Marine Research and Diver DevelopmentThe Inhaca Ocean Alliance.“LIGHTS, Film, Action!”Demo DiversSpecial Forces DiverWhat Dive Computers Don\'t Know | PART 2Toughing It Out Is Dangerous
April
